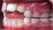
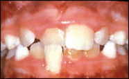
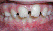
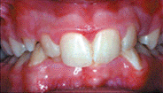
Malocclusions (“bad bites”) like those illustrated below, may benefit from early diagnosis and referral to an orthodontic specialist for a full evaluation.

In addition, if you notice any of the following in your child, check with your orthodontist:

• early or late loss of baby teeth
• difficulty in chewing or biting
• mouth breathing
• jaws that shift or make sounds
• speech difficulties
• biting the cheek or the roof of the mouth
• facial imbalance
• grinding or clenching of the teeth

   

Crossbite of front teeth.   Crossbite of back teeth.
     
 
Crooked Teeth   Open Bite
     
 
Protruding Teeth   Deep Bite
     
 
Underbite   Spacing
 
   

Orthodontic treatment for children (Through age 12)

Some children as early as 5 or 6 years of age may benefit from an orthodontic evaluation. Although treatment is unusual at this early age, some preventative treatment may be indicated. By age 7, most children have a mix of baby (primary) and adult (permanent) teeth. Some common orthodontic problems seen in children can be traced to genetics, that is they may be inherited from their parents. Children may experience dental crowding, too much space between teeth, protruding teeth, and extra or missing teeth and sometimes jaw growth problems. Other malocclusions (literally, “bad bite”) are acquired.

In other words, they develop over time. They can be caused by thumb or finger-sucking, mouth breathing, dental disease, abnormal swallowing, poor dental hygiene, the early or late loss of baby teeth, accidents or poor nutrition.

Trauma and other medical conditions such as birth defects may contribute to orthodontic problems as well. Sometimes an inherited malocclusion is complicated by an acquired problem. Whatever the cause, the orthodontist is usually able to treat most conditions successfully. Orthodontists are trained to spot subtle problems with jaw growth and emerging teeth while some baby teeth are still present.

The advantage for patients of early detection of orthodontic problems is that some problems may be easier to correct if they are found and treated early. Waiting until all the permanent teeth have come in, or until facial growth is nearly complete, may make correction of some problems more difficult. For these reasons, the AAO recommends that all children get a check-up with an orthodontist no later than age 7.

While your child’s teeth may appear straight to you, there could be a problem that only an orthodontist can detect. Of course, the check-up may reveal that your child’s bite is fine, and that is comforting news. Even if a problem is detected, chances are your orthodontist will take a “wait-and-see” approach, checking your child from time to time as the permanent teeth come in and the jaws and face continue to grow. For each patient who needs treatment, there is an ideal time for it to begin in order to achieve the best results. The orthodontist has the expertise to determine when the treatment time is right.

The orthodontist’s goal is to provide each patient with the most appropriate treatment at the most appropriate time.In some cases, your orthodontist might find a problem that can benefit from early treatment. Early treatment may prevent more serious problems from developing and may make treatment at a later age shorter and less complicated. For those patients who have clear indications for early orthodontic intervention, early treatment gives your orthodontist the chance to:

• Guide jaw growth
• Lower the risk of trauma to protruded front teeth
• Correct harmful oral habits
• Improve appearance and self-esteem
• Guide permanent teeth into a more favorable position
• Improve the way lips meet

It’s not always easy for parents to tell if their child has an orthodontic problem. Here are some signs or habits that may indicate the need for an orthodontic examination.

 

• Early or late loss of baby teeth
• Difficulty in chewing or biting
• Mouth breathing
• Thumb sucking
• Finger sucking
• Crowding, misplaced or blocked out teeth
• Jaws that shift or make sounds
• Biting the cheek or roof of the mouth
• Teeth that meet abnormally or not at all
• Jaws and teeth that are out of proportion to the rest of the face

 

If any of these problems are noted by parents, regardless of age, it is advisable to consult an orthodontist. It is not necessary to wait until age 7 for an orthodontic check-up.

 
   
Frequently asked questions about childhood orthodontic treatment:  
   
 
   
All Rights Reserved © IOSC 2008