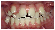
Crowding    
 
Teeth may be aligned poorly because the dental arch is small and/or the teeth are large. The bone and gums over the roots of extremely crowded teeth may become thin and recede as a result of severe crowding. Impacted teeth (teeth that should have come in, but have not), poor biting relationships and undesirable appearance may all result from crowding.
 
Overjet or protruding upper teeth
 
Upper front teeth that protrude beyond normal contact with the lower front teeth are prone to injury, often indicate a poor bite of the back teeth (molars), and may indicate an unevenness in jaw growth. Commonly, protruded upper teeth are associated with a lower jaw that is short in proportion to the upper jaw. Thumb and finger sucking habits can also cause a protrusion of the upper incisor teeth.
 
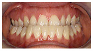
Deep overbite    
 
A deep overbite or deep bite occurs when the lower incisor (front) teeth bite too close or into the gum tissue behind the upper teeth. When the lower front teeth bite into the palate or gum tissue behind the upper front teeth, significant bone damage and discomfort can occur. A deep bite can also contribute to excessive wear of the incisor.
 
Open Bite    
 
An open bite results when the upper and lower incisor teeth do not touch when biting down. This open space between the upper and lower front teeth causes all the chewing pressure to be placed on the back teeth. This excessive biting pressure and rubbing together of the back teeth makes chewing less efficient and may contribute to significant tooth wear.
 
Spacing    
 
If teeth are missing or small, or the dental arch is very wide, space between the teeth can occur. The most common complaint from those with excessive space is poor appearance.
 
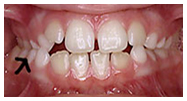
Crossbite    
 

The most common type of a crossbite is when the upper teeth bite inside the lower teeth (toward the tongue). Crossbites of both back teeth and front teeth are commonly corrected early due to biting and chewing difficulties.

 
Underbite or lower jaw protrusion
 
About 3 to 5 percent of the population has a lower jaw that is to some degree longer than the upper jaw. This can cause the lower front teeth to protrude ahead of the upper front teeth creating a crossbite. Careful monitoring of jaw growth and tooth development is indicated for these patients.
 
All Rights Reserved © IOSC 2008